인비절라인
인비절라인 교정
탈부착이 가능한 프리미엄 투명 교정 장치
프리미엄 투명 교정 장치로, 탈부착이 가능하고 일반 교정 대비
티가 나지 않는 방식입니다. 미국 Align Technology의 독자적인 기술로
교정 전체 과정을 미리 시뮬레이션 할 수 있다는 장점이 있습니다.
이 시뮬레이션을 기반으로, 인비절라인 미국 본사에서 직접
맞춤 제작된 장치로 교정을 진행합니다.
*평균 10일 간격으로 장치를 교체해주며, 교정 전문의 판단 하에
환자분들께 필요한 세트의 장치를 제공합니다.
남다른 세종스타치과의 인비절라인
인비절라인 플래티넘 등급으로 인증된 치과
(*충청권 대형치과 최초)
소아부터 성인까지 다양한 케이스 보유
20년차 이상의 교정과 전문의 직접 진행
브라켓과 인비절라인은 이렇게 다릅니다.
| 브라켓 | 인비절라인 | |
|---|---|---|
![]() |
![]() |
|
| 장치가 눈에 잘 보임 | 외적 심미성 | 장치가 잘 보이지 않음 |
| 철사 및 장치로 인해 입안 상처 혹은 찔림이 빈번함 |
통증 및 불편감 | 투명 플라스틱 재질로 찔림 및 불편감 적음 |
| 장치를 계속 붙인채로 1~2년간 식사 및 양치 필요 → 위생 및 충치 관리가 어려움 | 음식 섭취 및 양치 | 장치 탈부착이 가능하여 식사 및 양치시 장치를 빼고 진행 → 위생 및 충치 관리 편함 |
| 4~7주 ※ 1개월에 1회 방문 |
방문 주기 | 6~10주 ※ 2~3개월에 1회 방문 |
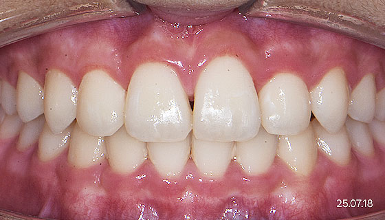
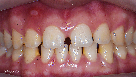
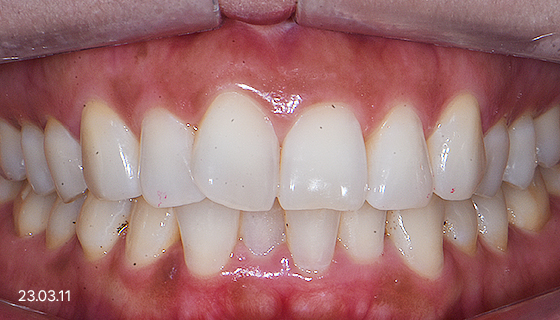
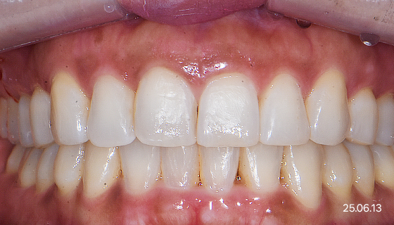
인비절라인 치료 과정
오시는 길 · 진료 안내
주소 세종시 나성로 125-16 (나성동, 스타타워) 7,8층
자가용 이용시 건물 내 주차장 (지하 1~3F) 이용하시면 됩니다.
진료 후, 출차시 데스크에서 주차등록하세요.
상담 / 예약
진료 시간
- 월화금 09:30 ~ 21:00 야간진료
- 수목 09:30 ~ 18:30
- 토요일 09:00 ~ 13:30 점심시간 없음
- 점심시간 12:30 ~ 14:00 평일
* 일요일, 공휴일은 휴진입니다.





kakaotalk
instagram
youtube
naver blog
