브라켓 교정
클리피씨 교정
세종스타치과는 클리피씨 브라켓 장치를 사용합니다.
일반적으로 많이 알려진, 치아에 붙이는 교정장치의 한 종류입니다.
치아에 붙이는 장치와 철사를 이용한 교정을 브라켓 교정이라고 부릅니다.
저희 세종스타치과에서 주로 사용하고 있는 브라켓 장치가 바로 클리피씨입니다.
다른 브라켓 장치 대비, 교정용 철사 교체가 간편하여 환자분들의 통증이
적다는 장점과 마찰력이 낮아 치아 이동이 더 수월하다는 장점이 있습니다.
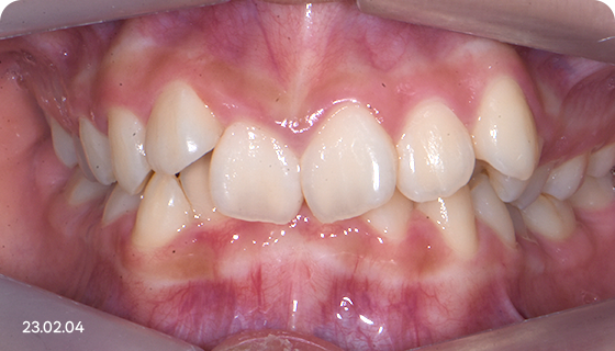
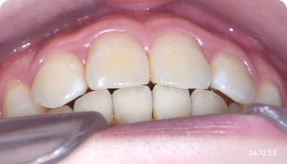
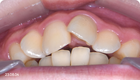
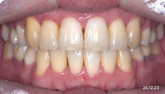
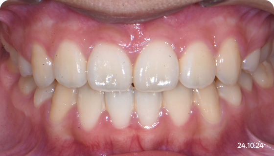
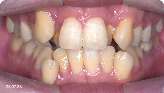
클리피씨 브라켓 교정 치료 과정
오시는 길 · 진료 안내
주소 세종시 나성로 125-16 (나성동, 스타타워) 7,8층
자가용 이용시 건물 내 주차장 (지하 1~3F) 이용하시면 됩니다.
진료 후, 출차시 데스크에서 주차등록하세요.
상담 / 예약
진료 시간
- 월화금 09:30 ~ 21:00 야간진료
- 수목 09:30 ~ 18:30
- 토요일 09:00 ~ 13:30 점심시간 없음
- 점심시간 12:30 ~ 14:00 평일
* 일요일, 공휴일은 휴진입니다.





kakaotalk
instagram
youtube
naver blog