네비게이션 임플란트
네비게이션 임플란트
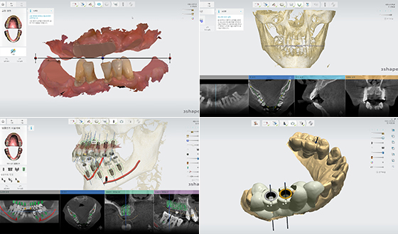
3D 모의수술을 통해 환자별 맞춤 수술 경로 계획 수립
세종스타치과의 네비게이션 임플란트는 3차원 디지털 모의수술로
뼈 / 신경 / 혈관 위치를 고려한 최적의 시술 방법을 결정하고,
정밀한 수술 유도 장치를 제작하여 최소한의 절개와
적은 통증으로 빠르고 정확하게 시술합니다.
기존 임플란트
vs
네비게이션 임플란트
기존 방식은 의사가 X-ray나 CT를 참고해
경험을 바탕으로 잇몸을 절개하고
뼈 상태를 직접 확인하며 식립하는 방법이며,
네비게이션 임플란트는 3D-CT로 사전에
가상 계획을 세우고 장비가 위치·각도를 실시간 안내해
정밀하게 식립하는 방식입니다.
덕분에 계획한 위치에 매우 가깝게 식립할 수 있어 신경관이나 혈관, 상악동 같은
위험 부위를 피하는 데 유리하며,
비교적 안전하고 통증과 붓기가 적어
회복이 빠르다는 장점이 있습니다.
네비게이션 임플란트 장점 01
더 안전하고 정확합니다.
3D CT 데이터를 기반으로 세우는 정확한 가상 수술 계획
의사의 경험과 손기술이아닌, 시술 전 3D CT 데이터를 기반으로 컴퓨터에서 가상 수술 계획을 세우고,
정밀하게 진단하여 수술 오차를 줄입니다.
기존 임플란트 ㅣ 2D 파노라마
2D 방식인 파노라마 단면으로 치아 상태 및 신경위치를
확인하여 정확한 진단이 어려울 수 있습니다.
네비게이션 임플란트 ㅣ 3D CT
3D CT 데이터를 기반으로 컴퓨터에서 가상 수술 계획을 세우고,
시술 시 네비게이션 장치가 실시간으로 안내합니다.
디지털 구강스캐너를 통한
정확하고 신속한 인상채득
3D 디지털 구강 스캐너는 기존의 고무 인상 채득보다 환자 불편감이 적고,
짧은 시간에 3D 데이터를 정확하게 얻어 즉시 수정과 빠른 보철 제작이 가능합니다.
기존 임플란트 ㅣ 고무 인상 채득
고무 인상채로 인해 구역질 반사를 유발하고
숙련도와 재료상태에 따라 정밀도에 차이가 있을 수 있습니다.
네비게이션 임플란트 ㅣ 3D 입체스캐너
구강 내를 소형 카메라로 스캔하여 3D 디지털 데이터로 변환하며
짧은 시간에 완료 가능하여 편의성과 안전성이 높습니다.
네비게이션 임플란트 장점 02
회복속도가 빠릅니다.
수술시간이 1/3로 줄어드는 만큼 회복속도가 빠릅니다.
잇몸뼈가 공기중에 노출되는 시간이 줄어드는 만큼, 출혈과 붓기가 적습니다.
때문에 수술 후 일상으로의 빠른 회복이 가능합니다.
기존 임플란트 ㅣ 일반적인 수술 방식
잇몸 절개로, 출혈이 발생하며 통증과 붓기를
유발하여 회복하는데 시간이 소요됩니다.
네비게이션 임플란트 ㅣ 컴퓨터 분석 수술
실시간으로 안내되는 수술방향을 토대로
정확하고 빠른 수술로 붓기와 출혈이 거의 없습니다.
맞춤형 보조장치로
안전하고 정확한 수술
수술 전 촬영한 3D CT 데이터와 구강 스캔 데이터를 바탕으로
임플란트를 식립할 정확한 위치·각도·깊이를 컴퓨터에서 계획한 뒤,
그 계획대로 시술이 가능하도록 환자마다 맞춤 제작됩니다.
기존 임플란트 ㅣ 경험과 감각에 의존한 수술
임플란트를 식립할 공간을 확보하기 위해
잇몸을 절개 한 후 위치를 파악하며 수술합니다.
네비게이션 임플란트 ㅣ 환자별 맞춤형 보조장치
맞춤 보조장치를 사용해 계획된 위치에 정밀하게 식립하여
통증·출혈·붓기를 줄일 수 있습니다.
네비게이션 임플란트 장점 03
치료 기간이 단축됩니다.
약 50% 단축되는 치료기간
불필요한 절개와 추가 조정 과정이 줄고 발치·식립·보철 과정이 통합되거나 간소화되어,
단축된 치료기간으로 편안한 임플란트 시술이 가능합니다.
단, 환자분의 상태에 따라 치료 내용이 달라질 수 있습니다.
기존 임플란트 ㅣ 총 1년~1년 6개월 소요
발치 후 1~3개월 → 뼈이식 후 6~8개월 → 임플란트 식립 4~6개월
보철 완성 (상악 기준 총 1년~1년 6개월 소요)
네비게이션 임플란트 ㅣ 총 4~6개월 소요
발치 + 뼈이식 + 식립 동시에 진행
보철 완성 (상악 기준 총 4~6개월 소요)
네비게이션 임플란트 치료 과정
세종스타치과의 원칙,
저희가 치료한 환자는 끝까지 책임집니다.
임플란트
5년 무상 보증
“임플란트는 심은 후 5년은 봐야한다”
세종스타치과 원장님들의 수십 년 경험에서 나온 공통된 이야기입니다.
임플란트를 심고 나서 5년간 문제가 없었다면,
“정말 잘 심었다”고 안심할 수 있겠다는 결론을 내렸습니다.
그래서 저희는 개원 후 지금까지 5년 무상 보증 정책을 지켜오고 있습니다.
단순히 치아 머리와 관련된 문제 뿐만 아니라
임플란트가 빠지는 최악의 상황에서도 끝까지 치료해드리겠습니다.
임플란트
5년 무상 보증
“임플란트는 심은 후 5년은 봐야한다”
세종스타치과 원장님들의 수십 년 경험에서 나온 공통된 이야기입니다.
임플란트를 심고 나서 5년간 문제가 없었다면,
“정말 잘 심었다”고 안심할 수 있겠다는 결론을 내렸습니다.
그래서 저희는 개원 후 지금까지 5년 무상 보증 정책을 지켜오고 있습니다.
단순히 치아 머리와 관련된 문제 뿐만 아니라
임플란트가 빠지는 최악의 상황에서도 끝까지 치료해드리겠습니다.
오시는 길 · 진료 안내
주소 세종시 나성로 125-16 (나성동, 스타타워) 7,8층
자가용 이용시 건물 내 주차장 (지하 1~3F) 이용하시면 됩니다.
진료 후, 출차시 데스크에서 주차등록하세요.
상담 / 예약
진료 시간
- 월화금 09:30 ~ 21:00 야간진료
- 수목 09:30 ~ 18:30
- 토요일 09:00 ~ 13:30 점심시간 없음
- 점심시간 12:30 ~ 14:00 평일
* 일요일, 공휴일은 휴진입니다.





kakaotalk
instagram
youtube
naver blog