통합진료
충치 치료
충치가 퍼진 범위와 깊이에 따라 치료방법이 달라집니다.
레진 ㅣ Resin
인레이, 온레이 ㅣ Inlay, Onlay
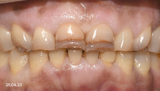
크라운 ㅣ Crown
브릿지 ㅣ Bridge
신경 치료
충치가 치아 신경까지 깊게 퍼진 경우, 신경을 제거하고 염증 부위를 소독하는 치료를 말합니다.
깨끗이 소독까지 끝낸 후 크라운을 씌워 마무리합니다.
심미 보철 치료
음식을 저작하는 ‘기능’과 눈에 보이는 ‘심미성’을 모두 개선하는 치료를 말합니다.
보통 눈에 잘 띄는 앞니쪽에 많이 진행하며, 크라운, 라미네이트 방식으로 치료합니다.
크라운 방식
손상된 치아를 복원하거나
형태, 색상을 보완하기 위해
새롭게 치아를 만들어 씌우는 방법
라미네이트 방식
치아 겉면을 얇게 갈아 낸 후,
그 위에 얇은 세라믹 판을 붙여
단시간내 심미성을 개선합니다.
사랑니 발치
사랑니는 치아 가장 깊숙이 자리잡고 있어 양치가 안되는 경우가 많습니다.
이 경우 충치가 옆 어금니까지 번져, 어금니 발치 후 임플란트를 하는 경우도 종종 있어 관리가 필요합니다.
특히 매복인 경우, 신경에 가깝게 자리할 때가 있어 수술시 주의가 필요합니다.
대학병원 추천 케이스
매복 사랑니· 치아 발치
8,444건
(*2025년 12월 기준)
사랑니 자주 묻는 질문부터
실제 발치 후 인터뷰까지
직접 확인해 보세요.
미백 치료
타고난 색상 혹은 착색의 이유로 누런 치아를 하얗게 톤업시켜주는 치료입니다.
환하게 웃는 자신감을 경험해보세요!
오시는 길 · 진료 안내
주소 세종시 나성로 125-16 (나성동, 스타타워) 7,8층
자가용 이용시 건물 내 주차장 (지하 1~3F) 이용하시면 됩니다.
진료 후, 출차시 데스크에서 주차등록하세요.
상담 / 예약
진료 시간
- 월화금 09:30 ~ 21:00 야간진료
- 수목 09:30 ~ 18:30
- 토요일 09:00 ~ 13:30 점심시간 없음
- 점심시간 12:30 ~ 14:00 평일
* 일요일, 공휴일은 휴진입니다.





kakaotalk
instagram
youtube
naver blog